受付・待合室
親切・丁寧な対応を心がけています。治療に関する質問や、何かお困りのことがございましたら、まずは受付までお声がけください。
診療室
リラックスした気持ちで診療を受けていただけるよう、スペースを広くとり、快適な診療台をご用意しております。
拡大鏡
肉眼では見えにくいむし歯などは、拡大鏡(ルーペ)で拡大視して治療をします。むし歯の取り残しや歯の削りすぎを防ぎ、患者さまになるべく少ない負担で精密な治療を提供します。
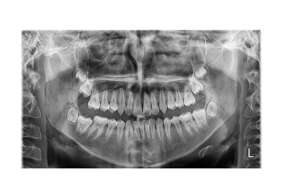
デジタルレントゲン
X線被曝量が少なく、鮮明な画像が撮影できるアクシオンジャパンのPanoACT3DUpgradeを使用しています。
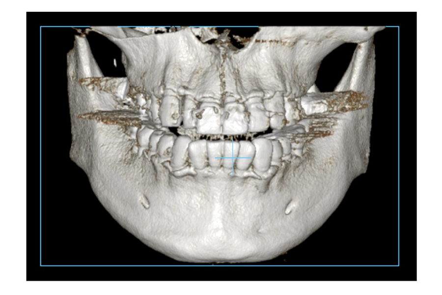
歯科用CT
歯科用CTは3Dの立体映像でお口の中を撮影できます。歯、神経、血管の位置、顎の骨の厚みなどを明確に映し出せるため、平面的なレントゲンよりも精密な診査・診断を行うことができます。
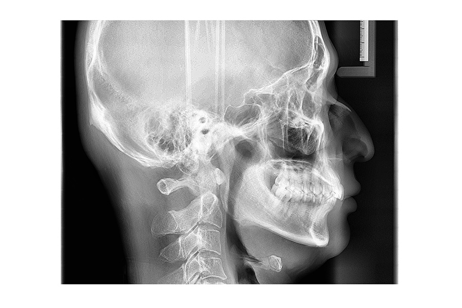
セファログラム
歯や顎だけでなく、頭部も含めて撮影できる矯正治療専用のレントゲンです。頭部、顎の形、歯の傾斜などを撮影することで、歯・顎・顔の全体的な変化から、治療の経過を把握できます。


